본문 바로가기

GEOLPO TOP DENTAL CLINIC

심미레진

  • 심미레진이란?

    레진은 치아 색이 나는 재료로서 충치의 범위가 크지 않은 경우에 주로 사용합니다. 심미레진은 충치 제거 후 치아색의 플라스틱인 레진을 바로 손실된 치아 부위에 메우는 시술방법입니다.

걸포탑치과의 특별한 심미레진

  • 1회 내원으로 완성

    1회 내원으로 치료가 끝납니다.

  • 앞니를 자연스럽게

    주변치아와 비슷한 색으로 맞추어 자연스러운 형태를
    회복할 수 있습니다.

  • 적은 치아 삭제량

    다른 치료에 비해 건강한 치아를 깎아내는 양이 적습니다.

  • 저렴한 비용

    레진치료는 보철물을
    제작하는 과정을 거치지 않기 때문에
    비교적 경비가 저렴합니다.

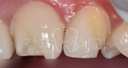
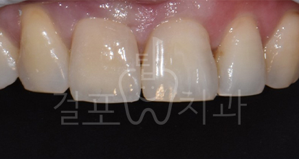
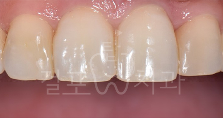
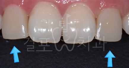
다양한 사례의 심미레진

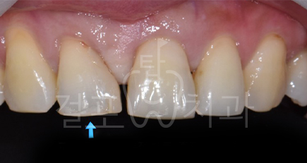
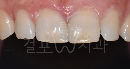
  • BEFORE
  • AFTER
▲ 심미레진으로 치료한 앞니 벌어짐
  • BEFORE
  • AFTER
▲ 심미레진으로 치료한 깨진 라미네이트
  • BEFORE
  • AFTER
▲ 심미레진으로 치료한 앞니 충치
  • BEFORE
  • AFTER
▲ 심미레진으로 치료한 왜소치
  • BEFORE
  • AFTER
▲ 심미레진으로 치료한 송곳니 충치
  • BEFORE
  • AFTER
▲ 심미레진으로 치료한 앞니 교정 실패

모든 시술 후에는 개인차에 따라 부작용 또는 합병증의 우려가 있으니 사전에 의료진과의 충분한 상담을 통해 결정하시길 바랍니다.