본문 바로가기

GEOLPO TOP DENTAL CLINIC

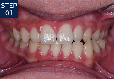
치아교정의 노하우

01

서울대 출신 교정과 전문의의 맞춤 교정

걸포탑치과는 서울대 출신 교정과 전문의가 치아교정을 진행합니다. 단순 치아 상태가 아닌 잇몸뼈, 턱뼈, 턱관절, 혀 위치 등을 확인하여 통합적인 기준으로 치료계획을 세워드립니다.

  • 김나정 교정원장

    교정과 전문의

    • 보건복지부 인증 치과교정과 전문의

    • 서울대학교 졸업 및 치의학석사

    • 제48회 대한치과교정학회 최우수 포스터상 수상

    • 제49회 대한치과교정학회 우수 포스터상 수상

    • 인비절라인(INMSALIGN) 인증 수료


    • 前) 인천라이브치과 치과교정과 교정원장

    • 前) 엠와이치과 치과교정과 교정원장

02

연령대별 맞춤 치아교정 가능!

치아교정은 나이와 상관없이 잇몸이 건강하다면
60~70대 연령층에서도 가능합니다. 연령대 별로 맞춤 치아교정을 도와드립니다.

  • 성장기 교정이 필요한 초등학생

  • 치열교정이 필요한 중고생

  • 면접, 취업을 앞둔 대학생

  • 심미적 개선이 필요한 직장인

  • 잇몸질환 예방이 필요한 중년층

  • 치아 기능 회복이 필요한 부모님

소아의 경우 성장분석을 통해 올바른 교정시기를 알려드립니다.

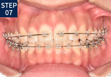
03

당신만을 위한 치아교정 1:1 프로세스

  • 기초 조사 및 상담

  • X-RAY/구강/안면촬영

  • 치열을 위한 인상채득

  • 분석 및 치료계획 수립

  • 진단 및 상담

  • 장치 장착, 치료

  • 주기적 내원

  • 장치제거 및 유지장치 장착

  • 유지 및 사후관리

04

가상 3D 시뮬레이션 기술 활용

걸포탑치과의 치아교정은 얼굴모습, 치아위치, 턱 모양을
입체적으로 구현 및 분석하여 교정 후 모습을 미리 확인할 수 있는 체계적인 진단 시스템으로 진행됩니다.

교정 후 나의 모습을 미리 만나보세요!
05

단순 치아교정 NO! 디지털 투명교정

치아 방향만 바꾸는 단순한 투명교정이 아닙니다. 각각의 치아모형이 개인 맞춤으로 제작되어
치아 이동 경로를 예측할 수 있습니다. 걸포탑치과의 투명교정은 치아 뿌리까지 이동하는
고난도 케이스까지 가능합니다.

  • 인비절라인

    미국 실리콘밸리에서 개발된 FDA 승인을 받은 특별한 투명교정 장치로 예쁜 미소를 완성해 드릴게요.

  • 매직얼라인

    전문적인 임상 가이드를 보유하고 있는 임상자문의와의 협진으로 체계적인 교정 진료계획을 세워드릴게요.

  • 세라핀 교정

    자체 개발한 디자인 소프트웨어를 통해 정확한 치료계획을 세워 현실성 높은 치료를 도와 드릴게요.

더 아름다운 당신의 모습을 찾아드리겠습니다.

나에게 맞는 치아교정을 만나보세요!

모든 시술 후에는 개인차에 따라 부작용 또는 합병증의 우려가 있으니 사전에 의료진과의 충분한 상담을 통해 결정하시길 바랍니다.