본문 바로가기

GEOLPO TOP DENTAL CLINIC

임플란트의 노하우

01
  • 전문의 3인 협진으로 올바른 임플란트

    정확하고 안전한 임플란트 식립을 위해서는 치과 지식이 풍부하고 경험이 많은 의료진이 중요합니다. 걸포탑치과는 보건복지부 인증 전문의가 협진하여 올바른 임플란트를 식립 해드리겠습니다.

  • 치과 전문의가 디지털 정밀진단을 만나다

    걸포탑치과는 디지털 장비를 활용하여 치아뿌리 길이, 모양, 잇몸뼈의 두께와 밀도 등 환자의 구강 상태를 파악합니다. 환자에 맞는 맞춤 임플란트 식립을 계획해드립니다.

02

계획된 대로 심는 네비게이션 임플란트

우리에게 올바른 길을 알려주는 네비게이션처럼 디지털 기술을 통해 최적의 수술 경로를 알려주는 네비게이션 임플란트. 3D 모의 수술을 통해 식립 위치를 정확하게 파악하고 오차 없이 식립 가능한 체계적인 디지털 임플란트 입니다.

  • 치료기간 단축

  • 높은 정확도 & 안정성

  • 적은 통증 빠른 회복

  • 전신질환자 고령자 가능

03

신속 정확! 발치 즉시 임플란트

환자가 원한다면 발치 즉시 임플란트로 잇몸뼈 소실을 줄일 수 있습니다. 임플란트 식립, 임시 보철물 제작까지 단 하루만에 가능합니다. ※ 케이스에 따라 식립기간은 달라질 수 있습니다.

Before
After
  • 치아 파절로 내원하신 분입니다. 잇몸뼈가 튼튼하신 분으로 발치즉시 임플란트가 가능하였습니다.

Before
After
  • 치아 뽑은 자리 잇몸염증이 매우 심한 상태였습니다. 잇몸상태가 좋지 않아도
    발치 즉시 임플란트를 시도할 수 있습니다. 다만, 2~3달 지난 후 수술한다면 더 안전하므로 이런 경우 즉시 식립을 추천드리지 않습니다. 발치 몇 달 후 상악동 거상술과 뼈이식 임플란트를 함께하여 수술을 완료하였습니다.

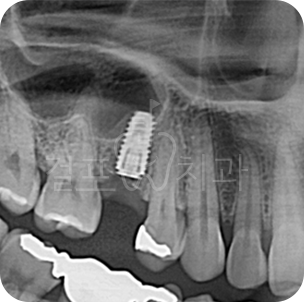
04

골형성까지 고려한 고려한 식립 가능

풍부한 경험을 바탕으로 골형성, 교합까지 고려한 고난도 및 재수술이 가능합니다. 수많은 경력에서 나오는 노하우와 임상 데이터를 기반으로 성공적인 결과를 보여드리겠습니다.

Before
After
  • 자연치아를 최대한 보존하면서 꼭 필요한 부분만 임플란트를 식립하였습니다. 광범위한 뼈이식이 필요하였으며 오염되었던 치근 주위로 뼈를 만들어 내야하는 고난도 케이스입니다.

치유가 아직 덜된 발치 부위에 상악동 수술과 3면 뼈이식이 들어가는 고난도 치료였으나 큰 문제 없이 이상적으로 치료되었습니다.

걸포탑치과는 품질 높은 프리미엄 재료를 사용하여 임플란트의 수명을 연장합니다.

  • 인공치근

    많은 분들에게 사랑받는 인지도 브랜드

    오스템, 네오 정품 사용
  • 지대주

    임플란트 예후가 오래가는

    맞춤형 지대주
  • 보철물

    심미성 + 강도 모두 뛰어난

    지르코니아 보철물
  • 임플란트 치아 완성

    좋은 재료와 기술력으로

    튼튼한 임플란트 완성

모든 시술 후에는 개인차에 따라 부작용 또는 합병증의 우려가 있으니 사전에 의료진과의 충분한 상담을 통해 결정하시길 바랍니다.