본문 바로가기

GEOLPO TOP DENTAL CLINIC

심미치료의 노하우

치과치료의 과학과 예술을 추구합니다.

모든 치과치료는 Evidence based 한 과학적 치료여야 하며 그 결과는 예술(Art)적이어야 한다고 생각합니다. 진단과 치료방법의 선택이 과학적이지 못하다면
그 치료는 사상누각에 불과하며, 정확한 치료방법을 계획했다 하더라도 치과의사의 손으로 계획대로 치료를 구현해 내지 못한다면 그 또한 의미가 없습니다. 과학과 예술이 조화된 치료는 대게 치료 결과가 자연치아와 닮아 있고 아름답습니다. 걸포탑치과 이형덕 대표원장은 항상
최신 치료방법에 대해 선구적으로 연구하며 환자분 입안에 예술작품과 같은 치료 결과를 남기고자 노력하고 있습니다.

예술적인 치료 결과를 위한 노력

  • 심미적인 보철물 제작

  • 자연치아 최소 삭제

  • 기존 치아와의 조화로움

01

걸포탑은 언제나 자연주의

걸포탑치과의 심미치료는 자연치아를 적극 보존하고, 자연스러운 아름다움을 찾아드립니다.

02

베테랑 기공소 협진 & 3M 정품 재료 사용

  • 높은 품질을 자랑하는 베테랑 기공소와 협진하여 높은 퀄리티의 보철물을 사용합니다.

  • 걸포탑치과는 3M에서 공식 수입,판매하는 제품을 사용하며, 보철물이 정품임을 인증하는 보증서를 드립니다. ※ 진료과목별 보증서 제공 여부는 달라집니다.

03

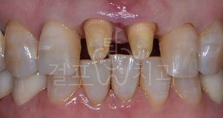
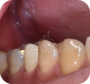
심미치료 종류 & 실제 사례

  • BEFORE
  • AFTER
튼튼하고 자연스러운 EMAX 인레이

EMAX 인레이는 치아와 유사한 색상을 가지고 있어
심미적이며 치아에 접착시키면 강도가 강해지므로 쉽게 깨지지 않습니다.

  • BEFORE
  • AFTER
자연치아인 듯 심미성이 뛰어난 심미레진

레진치료는 자연치아와 유사한 색상의 치과재료로
치아를 거의 삭제하지 않고 치아에 접착시키는 치료방법입니다. 손상된 치아부위를 치아색상과 거의 일치하게 맞추어
마치 자연치아 같은 심미성을 자랑합니다.

  • BEFORE
  • AFTER
밝고 환한 미소 치아미백

칫솔질이나 스케일링으로 해결되지 않는 치아의 색을
특수광선을 이용하여 미백제를 도포한 뒤 청색 파장광선으로 조사하여
본연의 치아색을 더 맑고 밝게 회복하는 미백치료입니다.

  • BEFORE
  • AFTER
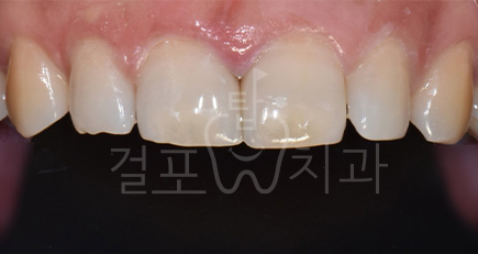
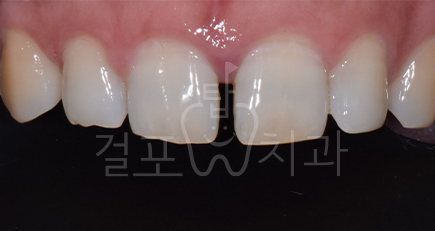
다시 태어나도 아름다운 앞니 재보철

앞니는 어금니와 다르게 더 많이 드러나 보이기 떄문에
심미치료가 무엇보다 중요합니다. 잇몸 변색, 잇몸 질환 등으로 앞니가 손상된 경우
앞니 재보철 치료로 심미성과 기능성을 회복할 수 있습니다.

모든 시술 후에는 개인차에 따라 부작용 또는 합병증의 우려가 있으니 사전에 의료진과의 충분한 상담을 통해 결정하시길 바랍니다.