본문 바로가기

GEOLPO TOP DENTAL CLINIC

자연치아 보존 노하우

자연치아를 살려야하는 이유를
알고 있습니다.

요즘 무분별하게 발치 후 임플란트 시술을 권유하는 사례가 늘고 있고 많은 매체에서 임플란트에 관해서 이야기를 하고 있지만 임플란트는 기능적인 면이나 관리적인 측면 모두
자연치아를 따라가지 못합니다. 자연치아 보다 좋은 건 이 세상에 없습니다. 걸포탑치과 모든 치과치료를 자연치아 보존부터 시작합니다.

내 치아 보존, 단계별로 접근합니다.

  • 01

    잇몸치료

    건강한 치아는 건강한 잇몸이 있기에 존재합니다. 그 만큼 잇몸 관리가 중요합니다.

    자세히 보러 가기

    +
  • 02

    충치치료

    충치가 생기면 충치치료로 자연치아를 보존할 수 있습니다. 꼼꼼치과는 최소한의 충치를 좋은 재료로 치료합니다.

    자세히 보러 가기

    +
  • 03

    신경치료 / 재신경치료

    신경이 손상되었다면 신경치료로 치아의 수명을 연장합니다. 케이스에 따라 MTA도 사용합니다.

    자세히 보러 가기

    +
  • 04

    치근단절제술

    치근단절제술은 재신경치료가 불가능한 경우 시행하며, 난이도가 있는 시술로 의료진의 실력이 중요합니다.

    자세히 보러 가기

    +
  • 05

    치아재식술

    치아재식술은 치아를 살리기 위한 최후의 수단입니다. 오염된 치아를 발치 후 짧은 시간내에 뿌리 끝을 치료하고 재식하며, 케이스에 따라 가능 여부가 달라집니다.

    자세히 보러 가기

    +

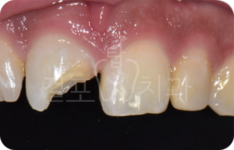
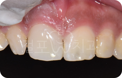
치아 외상도 최대한 살립니다.

치아가 파절 된 경우 자연치아 삭제량, 뿌리 상태, 환자분의 니즈 사항 등을 전반적으로 파악하여 최대한 자연치아를 보존하는 치료방법을 도와드립니다.

Before
After
Before
After

MTA의 우수성

MTA 충전재는 탁월한 밀봉력과 재생력이 강한 생체물질로 염증이 있던 치아 뿌리 주변 잇몸뼈의 재생에 도움을 주는 치료방법입니다. 자연치아를 오래 사용할 수 있도록 도와주는 우수한 재료입니다.

걸포탑치과는 특허 받은 제조 기술인 엔도셈 MTA를 사용하여 신경치료의 성공률을 높입니다.

모든 시술 후에는 개인차에 따라 부작용 또는 합병증의 우려가 있으니 사전에 의료진과의 충분한 상담을 통해 결정하시길 바랍니다.