본문 바로가기
031-982-2887
LOGIN
JOIN
프리미엄의 시작
걸포탑치과
걸포탑치과 소개
평생주치의
세계적인 우수장비
진료 안내
둘러보기
오시는 길
환자를 생각한
걸포탑 시스템
무통 마취 시스템
클린 소독 시스템
믿음 진료 시스템
전문의가 식립하는
임플란트
임플란트의 노하우
맞춤 임플란트
네비게이션 임플란트
뼈이식 임플란트
임플란트 틀니
발치즉시 임플란트
건강보험 임플란트
전신질환 임플란트
임플란트 주의사항
치과교정과 전문의
치아교정
치아교정의 노하우
연령별 치아교정
증상별 치아교정
장치별 치아교정
치아교정 유지관리
치아교정 주의사항
투명 교정
클리피씨 교정
예술을 담은
심미치료
심미치료의 노하우
심미레진
심미보철
치아미백
전문의 협진시스템
통합진료
자연치아 살리기 노하우
사랑니 발치
턱관절
충치치료
틀니
보철치료
잇몸치료
MTA 신경치료
치근단절제술
치아재식술
소아진료
전후사례 &
커뮤니티
공지사항
전후사례
GEOLPO TOP DENTAL CLINIC
전후사례
커뮤니티
걸포탑치과
걸포탑 시스템
임플란트
치아교정
심미치료
통합진료
커뮤니티
공지사항
전후사례
전후사례
전체
임플란트
치아교정
심미치료
일반진료
TOTAL
65
개
5
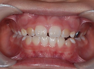
치아교정
개방교합 치아교정 사례
해당 게시물은 의료법 제 56조에 의거하여 로그인 후 열람이 가능합니다.
2023.01.09
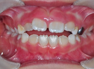
4
치아교정
덧니 치아교정 사례
해당 게시물은 의료법 제 56조에 의거하여 로그인 후 열람이 가능합니다.
2023.01.09
3
심미치료
앞니 심미치료 사례
해당 게시물은 의료법 제 56조에 의거하여 로그인 후 열람이 가능합니다.
2023.01.09
2
임플란트
전악 뼈이식+임플란트 사례
해당 게시물은 의료법 제 56조에 의거하여 로그인 후 열람이 가능합니다.
2023.01.09
1
일반진료
상악 제1대구치 재신경치료
해당 게시물은 의료법 제 56조에 의거하여 로그인 후 열람이 가능합니다.
2023.01.09
처음
이전
11
페이지
12
페이지
열린
13
페이지
QUICK
전후사례
카톡 상담
네이버톡톡
네이버예약
블로그
TOP